Tratamiento (lesiones musculares)
Lesiones musculares y tratamientos disponibles
Aunque las lesiones musculares en deportistas de élite suponen grandes pérdidas económicas para las entidades deportivas, en los últimos años no se ha producido ningún hito que haya supuesto un avance en el tratamiento de estas lesiones.
El tratamiento inmediato que se aplica se conoce como “PRICE”, de las siglas en inglés de Protection (protección), Rest, (descanso), Ice (hielo), Compression (compresión) y Elevation (elevación). Aunque no existen ensayos clínicos randomizados que demuestren su eficacia, los 5 principios que forman este concepto están basados en conceptos fisiológicos y traumatológicos ampliamente aceptados (Järvinen T et al. 2005).
El descanso evita la retracción adicional de los muñones del músculo roto, por tanto que aumente el tamaño de la discontinuidad en la zona lesionada, así como reducir el tamaño del hematoma y por tanto de la cicatriz. Con respecto al hielo se ha visto que la aplicación inmediata reduce el tamaño del hematoma, se produce menos inflamación y se acelera la regeneración. La aplicación de hielo durante 15-20 min en intervalos de 1 h disminuye la temperatura intramuscular 3-7ºC y por tanto se reduce el sangrado hasta un 50%. La elevación por encima del nivel del corazón se recomienda para reducir la presión hidrostática y la acumulación de fluidos intersticiales.
Además se utilizan antiinflamatorios no esteroideos, como el ibuprofeno.
Todos estos esfuerzos se centran en reducir la inflamación, y con ello el tamaño de la cicatriz. Hoy en día el planteamiento es más amplio, intentando mejorar la calidad de la reparación y que el tejido lesionado regenere adquiriendo propiedades mecánicas similares a las del tejido original.
Los últimos conocimientos celulares y moleculares han ampliado las posibilidades terapéuticas, entrando en escena las llamadas terapias autólogas como la terapia de plasma, en las que están especializados los médicos de la UTB.
¿Cómo tratamos las lesiones musculares en la UTB?
Una vez que se sospecha una lesión muscular, su cirujano solicitará un estudio de RMN o de ecografía para definir exactamente la localización y el tamaño de la lesión muscular, así como la presencia o no de hematoma intramuscular.
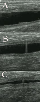
Se realiza la extracción de sangre al paciente, 20-40 cc de sangre, dependiendo de la magnitud de la lesión. En caso de presentar hematoma éste se evacua y a continuación, sin retirar la aguja, se infiltra plasma activado, PRGF®-Endoret®, adaptando el volumen a infiltrar al tamaño de la lesión. En la figura derecha se observa una imagen ecográfica representativa de un hematoma muscular (A), la punción (B) y la evacuación de dicho hematoma (C).
Es importante infiltrar el músculo sano adyacente al lesionado para estimular la reparación celular. Se recomienda aplicar hielo local durante unos minutos como medida antiinflamatoria.
Al cabo de una semana se realiza un nuevo control ecográfico y en caso de persistir un hematoma residual o un seroma se procede de nuevo a su evacuación y a la aplicación de una nueva dosis de PRGF®-Endoret®, como se ha descrito anteriormente. El número de aplicaciones variará en función del tamaño de la lesión y de la sintomatología dolorosa que produzca. Habitualmente las roturas pequeñas presentan una evolución favorable con una o dos aplicaciones de plasma. Las roturas medianas o grandes pueden precisar dos o tres aplicaciones de PRGF®-Endoret® con la frecuencia de una infiltración semanal.
área privada
